Lava -12
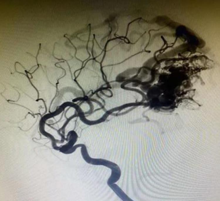
عندما الحممإدارة النقليتواصل تمدد الأوعية الدموية السائل داخل الجمجمة مع الدم أو أي محلول مائي ، وسوف يعزز سطحه على الفور ويشكل فيلمًا وقائيًا. يتم تخفيف DMSO في العامل الصغري وناشؤه في الدم ، بحيث يتم ترسيب مسحوق tantalum ملفوفة بواسطة Evoh ويعزز من الخارج إلى الداخل. في الوقت نفسه ، تنتشر الحمم البعيدة تحت ضغط الحقن. أخيرًا ، يشكل جسمًا إسفنجيًا في وضع الانصمام.

الحممإدارة النقلتم توقيت تمدد الأوعية الدموية من مادة غير ملصق ، لذلك فهو أكثر أمانًا وغير عصا القسطرة.
إنها صيغة فريدة من نوعها للضوايا مع مجموعة كاملة من النماذج Lava -12 و Lava -18 و Lava -34.
لديها تشتت أفضل واختراق. ويمكن أن تخترق بعمق الآفة ، والوصول إلى الوعاء البعيد.
مسحوق tantalum أكثر دقة ، وترسب أكثر وترسخا أكثر وضوحا التصوير الشعاعي مقارنة مع المنافسين.

ملاحظات لتمدد الأوعية الدموية داخل الجمجمة
● لاحظ ما إذا كان عامل Embolic Lava سائلًا يصلب ، إذا كان الأمر كذلك ، يجب إذابته أولاً.
● ضع عامل Embolic Lava على الهزاز.
● اضبط الهزاز على المستوى العالي.
● لا تقل عن 20 دقيقة للهز
● حتى يتم استخدامه.
|
رمز المنتج |
اللزوجة |
الأوصاف |
|
الحمم -12 |
12 CST |
انخفاض اللزوجة ، أكثر مرونة ، للسياء البعيدة ؛ |
|
الحمم -18 |
18 CST |
صيغة قياسية ، والاستخدام العام ؛ |
|
الحمم -34 |
34 CST |
لزوجة أعلى ، لأوعية التدفق العالية. |











